Centrifugation - Cell Morphology
Centrifugation - Cell Morphology
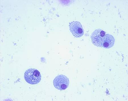
An investigator who wishes to look at the morphology of their cells may use the cytospin centrifuge. This centrifuge spins and flattens cells onto a glass slide which can be viewed using the Zeiss Axioskop.

Cytospin Centrifuge
Here is an example of a slide prepared using the cytospin and then stained with the May-Grunwald and Geimsa stains. The cells on the slide are macrophages:

Additional Information:
• Shandon Cytospin 4 Centrifuge Page
• May Grunwald-Giemsa Staining
• Microscopy - Brightfield/Phase